В сердце многих людей, умерших от Covid-19, был обнаружен вирус


У ученых накопилось достаточно доказательств того, что Covid-19 вызывает поражения сердца: у некоторых пациентов наблюдается повышенный уровень тропонинов – молекул, высвобождаемых в кровь при повреждениях сердца, другие страдают от воспаления околосердечной сумки и самого сердца. Однако до сих пор остается неясным, вызваны ли эти проблемы прямой атакой SARS-CoV-2 на сердце или они являются результатом чрезмерной иммунной реакции организма.
Ситуацию усложняет тот факт, что предыдущие исследования не пришли к единому мнению о том, может ли коронавирус вторгаться в сердечную ткань. Те исследования, которые считают, что SARS-CoV-2 не обладает такой способностью, прибегали к полимеразной цепной реакции (ПЦР) в режиме реального времени, которая предполагает выявление вирусной РНК в ткани и создание множества копий ДНК. Как только появляется достаточное количество ДНК, в дело вступает молекула с флуоресцентной меткой, которая «подсвечивает» присутствие вирусной РНК. Однако сердечная ткань часто обрабатывается и хранится с использованием таких химикатов, как парафин, который может разлагать РНК и затруднять ее определение.
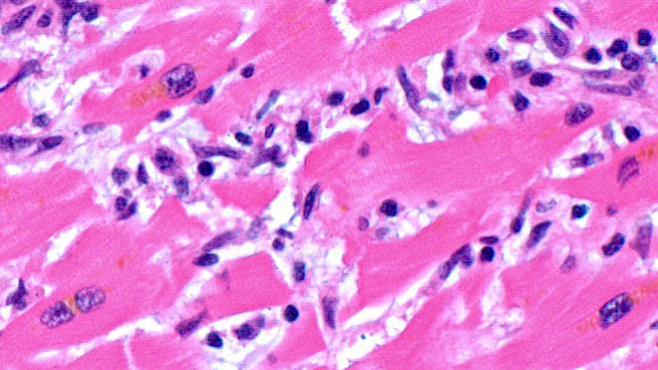
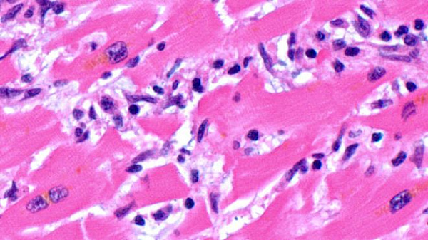
Джеймс Стоун, специалист по сердечно-сосудистой патологии из Центральной больницы штата Массачусетс (США), и его коллеги прибегли к другому подходу – гибридизации in situ и транскриптомному профилированию. Эти технологии также используют специальные молекулы, которые соединяются с РНК вируса, позволяя ученым отследить ее, но при этом нет необходимости в производстве копий ДНК. Такой подход помогает найти вирусную РНК даже после ее распада на более мелкие фрагменты. Ученые также проанализировали около 1 000 образцов миокарда, взятых у 41 пациента (более чем 20 образцов от каждого пациента), что почти в 2 раза больше, чем количество образцов на человека в большинстве других исследований.
SARS-CoV-2 присутствовал в сердцах 30 пациентов, и только эти пациенты перед смертью испытывали фибрилляцию предсердий, нарушение сердечного ритма и повышенное сердцебиение. Ученые все еще не знают, атаковал ли вирус сердца напрямую в этих случаях: большинство инфицированных сердечных клеток были иммунными клетками, которые SARS-CoV-2 мог «захватить» в любом месте организма до того, как они попали в сердце. Неясно также и то, стал ли вирус причиной проблем с сердцем или все дело собственно в иммунных клетках.
Как бы то ни было, результаты исследования могут помочь объяснить, почему стероид дексаметазон оказывает столь благотворное влияние на некоторых пациентов – этот препарат был одним из первых, показавших свою эффективность в предотвращении смерти при тяжелом течении Covid-19. Только у 50% пациентов, получавших лечение дексаметазоном, в сердце обнаруживался вирус в сравнении с 90% пациентов, не получавших препарата. Правда, небольшая по количеству участников выборка данного исследования не позволяет однозначно заявить, что один препарат защищает сердце лучше, чем другой.
Фото: JAMES STONEНаука
Екатерина Луконина