В сердце подростка нашли булавку


Семнадцатилетний молодой человек обратился в отделение неотложной помощи после трех дней болей в груди. Подросток говорил, что боль была острой, распространялась в спину и усиливалась в положении лежа или при глубоком дыхании.
Результаты электрокардиограммы (ЭКГ) были ненормальными, и врачи были обеспокоены, что у пациента перикардит или воспаление сердечной мышцы. Лабораторные тесты показали, что у подростка повышенный уровень белков в крови, что тоже указывает на травму сердца.
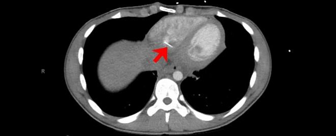
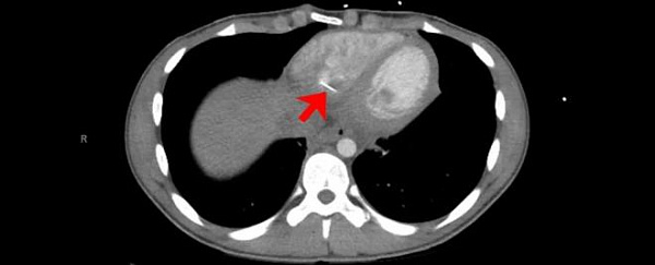
Компьютерная томография груди показала, что в его сердце застрял линейный металлический инородный объект размером около 3,5 сантиметра в длину. Он выступал из правого желудочка, который перекачивает кровь в легкие.
Сначала подросток сказал врачам, что не проглатывал никаких посторонних предметов и не получал физических травм груди. Но чуть позже он заявил, что шьет себе одежду и иногда держит во рту булавки. Тем не менее, по его словам, он не заметил, что проглатывал что-то подобное.
Ему сделали операцию, чтобы удалить предмет, который, как обнаружили врачи, действительно был булавкой. Они считают, что игла переместилась из желудка в сердце, или, возможно, из другого места желудочно-кишечного тракта, например, из пищевода или тонкой кишки.
Общество
Светлана Белякова