я могу что захочу, то и могу)
Хочешь изменить мир? Иди домой и люби свою семью)
Екатерина Луконина
Все записи
текст

«Выключение» одного гена активизирует смертельный вид рака мозга у детей

С помощью стволовых клеток исследователям из Калифорнийского университета в Сан-Диего удалось увидеть, как утрата функции одного единственного гена сказывается на развитии нервной системы и способствует росту крайне опасного вида рака мозга у детей.
«Выключение» одного гена активизирует смертельный вид рака мозга у детей

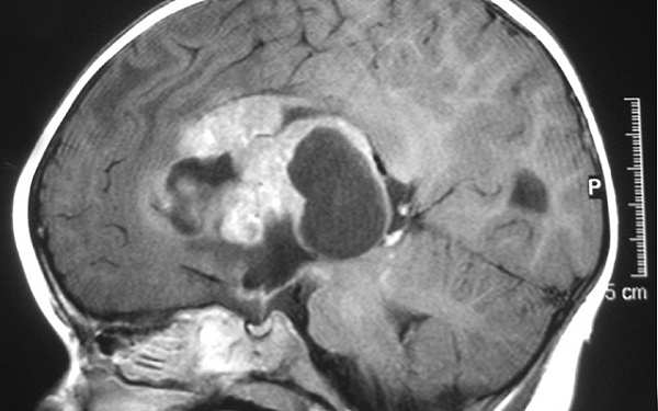
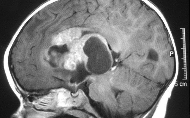
Атипичная тератоидно-рабдоидная опухоль (ATRT) – крайне редкая и быстро растущая форма рака головного мозга, которая обычно поражает детей в возрасте до 3 лет, хотя может встречаться и у детей старшего возраста и взрослых. Существует несколько видов лечения этой опухоли, однако нет оптимального стандарта оказания медицинской помощи, а прогноз выживаемости неутешительный. Возникновение ATRT в первую очередь связано с инактивацией гена SMARCB1, который участвует в регулировке экспрессии генов и различных процессов развития. В своей работе, опубликованной в журнале Genes and Development, исследователи из Калифорнийского университета в Сан-Диего и местного подразделения Института исследований раковых заболеваний им. Дэниэла Людвига, описали, как утрата функциональности этого гена сказывается на развитии нервной системы и росте опухоли.

«В предыдущих исследования было доказано, что в отличие от других видов рака ATRT развивается из-за потери одного единственного гена – SMARCB1, что ведет к росту опухоли в результате изменений в экспрессии генов, а не в результате комбинированного влияния множественной мутации генов», – говорит ведущий автор исследования Фрэнк Фурнари, преподаватель патологии Института Людвига.

ATRT – смертельный вид рака, лечение которого зачастую осложняется из-за вредного воздействия облучения на когнитивное развитие детей. Чтобы разработать прицельную терапию, необходимо понимать механизмы, лежащие в основе ATRT. Для этого команда ученых под руководством Фурнари вызвала потерю гена SMARCB1в индуцированных плюрипотентных стволовых клетках, а затем «заставила» их превратиться в нейроны или мозговые органоиды (комплекс различных нейроцитов и глий), создав имитацию развития мозга в миниатюре. Это позволило ученым выявить связь между потерей гена и затруднениями в нейронной дифференциации, которые приводят к проблемам с окончательной дифференциацией клеток и поддержанием нормального клеточного развития.

По словам авторов исследования, полученные результаты позволят использовать модель ATRT для поиска мишеней для терапевтического воздействия, которое сможет остановить рост опухоли и стать эффективной стратегией лечения.

Фото: Wikipedia

Наука

Машины и Механизмы
Всего 0 комментариев
Комментарии

Рекомендуем

OK OK OK OK OK OK OK