Причиной загадочной гибели шимпанзе в Африке может быть неизвестная ранее бактерия


С 2005-го по 2018-й годы на территории заповедника Такугама в Сьерра-Леоне погибло 56 шимпанзе, принадлежавших к находящемуся на грани исчезновения виду Pan troglodytes verus. У всех перед смертью развивалось загадочное заболевание с неврологическими и желудочно-кишечными симптомами, при этом, как отмечают работники заповедника, ни одному из животных, у которого появлялись симптомы, не удавалось выжить даже при наличии лечения.
«Шимпанзе теряли координацию движений, у них открывалась рвота и начиналась диарея. Иногда еще вечером животное казалось здоровым, а утром его находили мертвым», – рассказывает Тони Голдберг, эпидемиолог и ветеринар из Висконсинского университета (США).
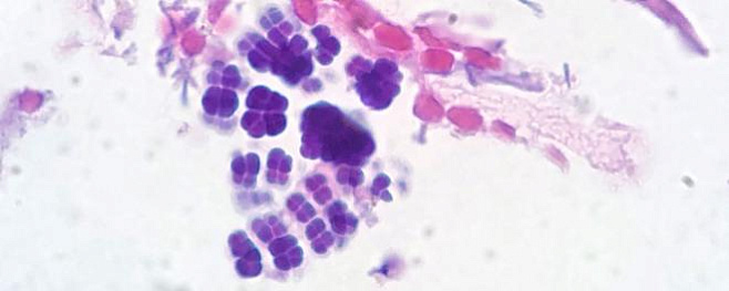
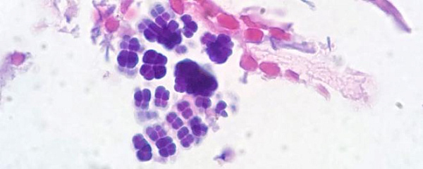
Чтобы выяснить, что вызывает мучительную гибель животных, Голдберг и его коллеги изучили образцы тканей и кала шимпанзе на предмет обнаружения вирусов, бактерий и других паразитов. Проведенный анализ ДНК показал, что в 68% биологических образцов больных приматов присутствовал один вид бактерий, которого не было ни у одного здорового животного. Под микроскопом бактерия была похожа на четырехлистный клевер, и это позволило предположить, что она принадлежит к малоизученному роду кокков Sarcina, среди которых есть вид, вызывающий желудочно-кишечные расстройства у людей. Секвенирование генома бактерии подтвердило, что она является близким родственником других бактерий рода Sarcina, но совершенно новым видом.
Пока исследователям не удалось выяснить, является ли эта бактерия единственной причиной смертельного заболевания шимпанзе или действует вместе с другими факторами. Также остается неясным, откуда взялась бактерия и почему пик смертей ежегодно приходится на март. Вполне вероятно, что споры бактерии распространены в окружающей среде, а заболевание провоцируют погодные условия или какие-то особенности биологии шимпанзе. Пока же ветеринары пытаются лечить больных животных антацидами и антибиотиками, которые применяются для лечения похожих инфекций Sarcina у людей.
Фото: ED UTHMAN, WIKIMEDIAНаука
Екатерина Луконина
-
Если бы такая информация поступила несколько лет назад, то на нее можно было бы не обращать внимание. А нынче любые подобные сообщения начинают напрягать. Кто знает, во что это может вылиться?(