Открыты более 200 генов, провоцирующих формирование глиобластомы


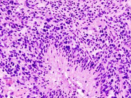
Глиобластома — тяжелая форма рака мозга. Терапия этого заболевания обычно включает в себя химио- и радиотерапию. При этом клетки глиобластомы могут выживать после лечения, что приводит к образованию новых опухолей. В среднем пациенты с глиобластомой проживают только 12-18 месяцев после диагноза. Ученые до сих пор не могут найти точную причину возникновения глиобластомы.
Ученые решили понять, какие гены вовлечены в процесс возникновения глиобластомы. Для этого они специально вывели лабораторных мышей, имеющих этот вид раковой опухоли. Ученые обратили внимание на EGFR — рецептор эпидермального фактора роста. Оказалось, что этот ген способен инициировать зарождение опухолей мозга у мышей. Как отметили опухоли у лабораторных мышей сильно напоминали человеческие глиобластомы.
Далее ученым важно было определить, какие гены наряду с EGFR участвуют в процессе формирования опухолей. Использовав специальную технологию PiggyBac, ученые выявили более 200 известных и не обнаруженных до этого мутаций антионкогенов (эти гены обеспечивают подавление опухолей клеток, таким образом защищая организм). Мутируя, антионкогены теряют свои защитно-профилактические функции и начинают работать совместно с EGFR на формирование раковой опухоли.
Ученые сравнили полученные результаты с секвенциями генома людей, заболевающих глиобластомой, и обнаружили, что множество мутаций антионкогенов у человека и мышей совпадают. В заключении исследования ученые подытожили: пациентам с глиобластомой срочно необходимы новые, более эффективные методы лечения. Благодаря исследованию этих раковых опухолей на примере мышей можно понять, какие методы и какие вещества подойдут для точечной терапии этой тяжелой формы рака.
Наука
Антон Тальский