Модель ученых Пермского Политеха поможет оценить тяжесть легочной болезни у недоношенных младенцев


Ученые Пермского Политеха разработали математические модели
прогнозирования уровня бронхолегочной дисплазии у недоношенных новорожденных с
экстремально низкой массой тела. Это позволит определить степень тяжести
болезни на ранних сроках жизни ребенка и своевременно подобрать лечение.
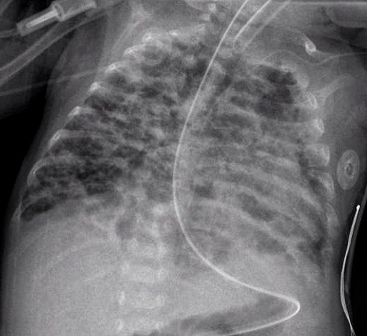
Бронхолегочная дисплазия – самое частое
хроническое заболевание легких у недоношенных новорожденных детей с критично
низкой массой тела (до 1 кг при рождении). Оно связано с незрелостью легочных
тканей, токсичным воздействием кислорода при искусственной вентиляции легких и
рядом других факторов. В настоящее время выделяют легкую, среднюю и тяжелую
степени болезни. Первоначальная задача врачей – подобрать лечение, которое
снизит риск развития серьезных форм недуга.
На сегодняшний день существуют методы прогнозирования заболевания, но все они основаны только на одной группе параметров, например, на результатах лабораторного исследования пуповинной крови. Проблема в том, что они не включают в себя многие факторы, которые воздействуют на развитие болезни.
Ученые Пермского Политеха разработали модели, учитывающие количественные показатели из разных групп характеристик, влияющих на степень тяжести заболевания: вес при рождении, питание пациента, характеристики аппарата искусственной вентиляции легких и другие.
– Для создания модели врачи предоставили нам данные 76 детей, у 56 из них – средняя или тяжелая степень бронхолегочной дисплазии, а у 20 она либо отсутствует, либо находится в легкой форме. Такое маленькое количество данных не обеспечивает устойчивость и точность модели, а лишь берется за основу. Чтобы она работала правильно, мы создали множество компьютерных «двойников» с разным набором показателей на основе данных о реальных пациентах. Это расширяет информационную базу для модели, которая поможет вычислить степень тяжести болезни, – комментирует Елена Полежаева, старший преподаватель кафедры «Прикладная математика» ПНИПУ.
– С помощью такой базы данных мы создали математические функции (алгоритмы) в качестве основы для компьютерной программы, которая будет определять уровень заболевания. Функций всего две – для первой группы (нет заболевания/легкая форма) и для второй (средняя/тяжелая). Чтобы определить степень болезни, нужно подставить показатели ребенка в каждую из них. Затем механизм считает, где получается большее значение, и определяет младенца в ту или иную группу. Эту систему проверяли на реальных данных тех 76 пациентов, которые использовались, как основа модели. Точность составила 84,2%, что считается хорошим результатом, – заключает Андрей Давыдов, доцент кафедры «Прикладная математика» ПНИПУ, кандидат технических наук.
Построенная учеными Пермского Политеха модель будет основой для программы, которая поможет врачам принимать решения о диагнозе бронхолегочной дисплазии у недоношенных детей с экстремально низкой массой тела. Также с ее помощью можно подобрать соответствующее лечение для маленького пациента и определить, изменения каких параметров уменьшат вероятность появления средней или тяжелой степени заболевания.
Статья
опубликована в материалах Всероссийской студенческой научно-практической
конференции (Санкт-Петербург, 2024).
Фото: Pulmonological, commons.wikimedia.org
Наука
ПНИПУ